Xử trí chấn thương răng cửa như thế nào?
Chấn thương răng cửa là một trong những dạng chấn thương răng miệng phổ biến nhất, thường gặp ở trẻ em và thanh thiếu niên. Việc phòng ngừa và xử trí đúng cách khi xảy ra chấn thương răng là rất cần thiết, nhằm giảm thiểu các biến chứng lâu dài và bảo tồn chức năng, thẩm mỹ của răng.
Chấn thương răng, đặc biệt là vùng răng cửa, là một trong những dạng chấn thương răng miệng phổ biến nhất, thường gặp ở trẻ em và thanh thiếu niên. Theo thống kê, có khoảng 30% trẻ em từng gặp phải chấn thương răng trước năm 14 tuổi.
Các chấn thương răng cửa rất đa dạng và được phân loại theo mức độ nghiêm trọng, bao gồm: răng bị chấn động (lung lay nhẹ), răng trồi lên hoặc lún xuống, lệch khỏi vị trí ban đầu, nứt hoặc vỡ men răng, vỡ men ngà nhưng chưa lộ tủy, vỡ đến tủy răng, gãy thân hoặc chân răng, và nghiêm trọng nhất là răng bị bật ra khỏi ổ hoàn toàn.
Việc nhận biết sớm và xử lý kịp thời các loại chấn thương răng là rất quan trọng. Phụ huynh, thầy cô giáo và người chăm sóc trẻ nên được trang bị kiến thức cơ bản về các dấu hiệu chấn thương và các bước sơ cứu ban đầu, đặc biệt là trong các tình huống khẩn cấp như răng bị rơi khỏi ổ.
Xử trí chấn thương răng như thế nào?
Khi gặp chấn thương răng cửa, bệnh nhân/ người nhà cần giữ bình tĩnh, đánh giá tình trạng toàn thân của bệnh nhân.
Dưới đây, là hướng dẫn xử trí 2 tình trạng chấn thương răng cửa vĩnh viễn hay gặp nhất: chấn thương gãy thân răng (gãy men ngà, gãy men ngà lộ tủy) và chấn thương răng rơi khỏi ổ.
Chấn thương răng, đặc biệt là vùng răng cửa, là một trong những dạng chấn thương răng miệng phổ biến nhất
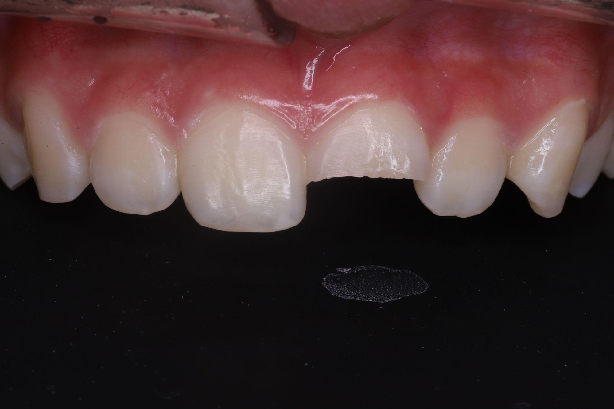
Gãy thân răng
Khi bị gãy răng, việc đầu tiên và rất quan trọng là cố gắng tìm lại mảnh răng bị gãy (nếu có). Việc bảo quản đúng cách sẽ giúp tăng khả năng phục hồi lại răng gãy một cách thẩm mỹ và hiệu quả.
Tốt nhất là bảo quản mảnh răng gãy trong nước muối sinh lý để đảm bảo mảnh răng không bị mất nước. Nếu không có dung dịch bảo quản thì vẫn có thể mang trực tiếp đến cơ sở nha khoa để bác sĩ xử trí.
Tại phòng khám, bác sĩ sẽ đánh giá mức độ tổn thương và lựa chọn phương pháp điều trị phù hợp. Nếu bệnh nhân đến sớm, bác sĩ có thể gắn lại mảnh răng bị gãy bằng vật liệu chuyên dụng, hoặc thực hiện một số can thiệp như che tủy, lấy tủy một phần trước khi phục hình lại. Tuy nhiên, nếu đến trễ (sau khoảng 1 tuần), răng có thể đã bị viêm tủy hoặc nhiễm khuẩn, khi đó thường cần điều trị tủy toàn bộ trước khi phục hồi.
Trong trường hợp không tìm thấy mảnh gãy, răng vẫn có thể được phục hình bằng các phương pháp hiện đại như trám thẩm mỹ bằng vật liệu composite hoặc dán sứ veneer, giúp phục hồi cả chức năng và thẩm mỹ cho răng.
Dù tổn thương ở mức độ nào, bệnh nhân cũng cần được theo dõi định kỳ sau chấn thương để phát hiện và xử lý kịp thời các biến chứng có thể xảy ra, như hoại tử tủy hay viêm quanh chóp răng.
Răng rơi khỏi huyệt ổ răng
Răng thật có thể được cắm trở lại nếu được xử lý đúng cách trong thời gian ngắn. Răng để khô ngoài môi trường càng lâu thì khả năng phục hồi càng thấp. Tốt nhất nên đưa răng trở lại môi trường ẩm trong vòng dưới 30 phút.
Khi tìm được răng, hãy cầm nhẹ phần thân răng (không chạm vào chân răng), rửa nhẹ bằng nước muối sinh lý để loại bỏ bụi bẩn. Sau đó, bảo quản răng bằng một trong các cách sau:
● Đặt vào nước muối sinh lý,
● Ngâm trong sữa tươi không đường,
● Ngậm trong miệng (vị trí má dưới gần răng hàm), nếu trẻ đủ lớn và hợp tác,
● Tốt nhất: nếu có thể, cắm nhẹ răng trở lại ổ răng cũ, rồi đưa ngay đến nha sĩ.
Giảm đau, an thần cho bệnh nhân. Đưa bệnh nhân đến cơ sở nha khoa gần nhất. Tại nha khoa, bác sĩ sẽ đánh giá lại tình trạng và xử trí:
● Nếu răng được bảo quản tốt và đưa đến sớm, bác sĩ sẽ vệ sinh, xử lý vết thương và cắm lại răng vào ổ răng, sau đó cố định răng bằng dụng cụ chuyên dụng trong 2–4 tuần.
● Nếu răng để khô quá 60 phút, khả năng thành công sẽ giảm. Lúc này, bác sĩ cần làm sạch răng, điều trị tủy ngoài cơ thể trước khi cắm lại và cố định.
Dù răng được cắm lại thành công, vẫn cần theo dõi sát sao sau đó: thường vào các mốc 4–8 tuần, 6 tháng, 1 năm... để phát hiện sớm các biến chứng như viêm tủy hay tiêu chân răng.
Hình ảnh cố định răng
Chăm sóc sau chấn thương
- Cho trẻ nghỉ ngơi đầy đủ, tránh vận động mạnh ngay sau chấn thương.
- Không ăn các loại thức ăn cứng, quá nóng hoặc quá lạnh trong những ngày đầu để tránh làm tổn thương thêm vùng răng đang hồi phục.
- Dùng thuốc đúng theo hướng dẫn của bác sĩ, không tự ý ngưng thuốc khi chưa được chỉ định.
- Trong trường hợp có vết thương hở, trẻ cần được tiêm phòng uốn ván nếu chưa đủ liều theo lịch tiêm chủng.
- Tái khám đúng lịch hẹn để bác sĩ kiểm tra tiến trình lành thương và xử lý kịp thời nếu có bất thường
Dự phòng chấn thương răng
Phòng ngừa luôn là cách tốt nhất để bảo vệ sức khỏe răng miệng cho trẻ. Phụ huynh và giáo viên có thể hướng dẫn và hỗ trợ trẻ thực hiện các biện pháp sau:
- Đeo dụng cụ bảo vệ răng (mouthguard) khi tham gia các môn thể thao có nguy cơ va chạm (bóng đá, bóng rổ, võ thuật, trượt ván...).
- Đội mũ bảo hiểm đúng cách khi trẻ đi xe đạp, xe máy hoặc tham gia giao thông.
- Chỉnh nha (niềng răng) nếu trẻ có sai lệch khớp cắn lớn (như răng cửa nhô ra ngoài nhiều) – đây là yếu tố làm tăng nguy cơ gãy răng khi va chạm.
- Vệ sinh răng miệng kỹ lưỡng hằng ngày, kết hợp khám răng định kỳ 6 tháng/lần để phát hiện và xử lý sớm các vấn đề răng miệng, giúp răng chắc khỏe, giảm nguy cơ tổn thương khi có tai nạn.
ThS. BSNT. Cao Thị Hằng - ThS. Đỗ Trọng Hiếu




